Covid-19 : et si le coronavirus s'attaquait à notre cerveau ?

Publié par Emmanuelle Jung
le 03/04/2020
Maj par Sophie Raffin
le 02/12/2021
vintage engraving hemispheres human brain illustration in top view isolated on light green background
Istock
Plusieurs études soutiennent que le coronavirus pourrait affecter notre cerveau. Selon les chercheurs, ce phénomène se traduit notamment par deux symptômes fréquents lors de l'infection : la perte du goût et de l'odorat. Une nouvelle étude montre le SARS-CoV-2 attaquerait des cellules du cerveau et créerait ainsi des "vaisseaux fantômes".

Plusieurs recherches scientifiques récentes semblent indiquer que la Covid-19 pourrait affecter le système nerveux central. Pour s'attaquer à votre cerveau, le coronavirus pénètrerait via le tronc cérébral par les voies nerveuses, estime le Pr Peter Berlit, secrétaire général de la Société allemande de neurologie.

Une nouvelle étude préliminaire vient de montrer l'impact du virus sur les fonctions cérébrales des personnes atteintes. Et il n'est pas des moindres : l'étude, dirigée par Adam Hampshire, médecin de l'Imperial College London, démontre que les patients victimes du coronavirus pourraient avoir un déclin mental équivalant à un vieillissement cérébral de dix ans. Les chercheurs ont analysé les résultats de tests cognitifs de 84.285 personnes ayant contracté la Covid-19. L'étude consistait à évaluer leur capacité à résoudre des problèmes ou à gérer leurs émotions.

Les résultats sont sans appel : les individus ayant contracté la Covid-19 ont de moins bonnes performances que ceux n'ayant pas été infectés. Attention, il ne s'agit là que d'une étude préliminaire.

Covid-19 : l'atteinte cérébrale semble expliquer certains symptômes

De nombreux autres chercheurs se sont intéressés l'atteinte cérébrale en cas de coronavirus. Ce phénomène semble expliquer un certain nombre de symptômes. La première étude, parue le 27 février dans le Journal of Medical Virology s’appuie sur certains cas d’insuffisance respiratoire survenus chez des patients infectés par le coronavirus.

Une seconde recherche, parue le 13 mars dans le journal Chemical Neuroscience met en avant la perte de l’odorat et du goût, considérée comme un symptôme fréquent de la Covid-19. 

En outre, les chercheurs seraient aussi parvenus à expliquer pour certains patients sont décédés du coronavirus, sans avoir manifesté de symptômes. "Malgré l'absence de symptômes, des personnes vivant dans des maisons de retraite sont décédées ces dernières semaines", relève la presse allemande.

Enfin, une troisième étude publiée le 9 septembre 2020 rejoint aujourd'hui ce palmarès. Dirigée par Akiko Iwasaki, immunologue de l’université de Yale, elle suggère que le virus serait capable de se dupliquer à l’intérieur de notre cerveau. Sa présence prive d’oxygène les cellules du cerveau avoisinantes. Ce phénomène semblerait expliquer les maux de tête, les confusions et délires observés chez certains malades.

Maux de tête et confusion : le Sars-CoV-2, capable de pénétrer la barrière hémato-encéphalique ?

Cette dernière étude a été en mesure d'expliquer la survenue de maux de tête, confusion et délires expérimentés par certains malades de la Covid-19. Ils pourraient être le résultat d’une invasion directe du cerveau par le coronavirus ! S'il s'agit seulement d'une étude préliminaire, elle rejoint néanmoins ce que d'autres recherches avant elle avaient déjà démontré : on ne peut nier une atteinte cérébrale chez certains malades.

Selon l’étude, dirigée par Akiko Iwasaki, le virus est capable de se dupliquer à l’intérieur du cerveau, ce qui prive d’oxygène les cellules (du cerveau) avoisinantes. En revanche, la prévalence de ce phénomène reste encore à déterminer.

D'après les scientifiques, il est possible que le Sars-CoV-2 soit capable de pénétrer la barrière hémato-encéphalique, une structure qui entoure les vaisseaux sanguins du cerveau et essaie de bloquer les substances étrangères.

Covid-19 : l'enjeu de la protéine ACE2

Depuis le début de l’épidémie, les scientifiques pensaient que le cerveau ne présentait pas suffisamment de protéines ACE2 pour que le virus puisse s’y accrocher. À titre de précision, "ACE2 est une protéine clé dans la physiologie de la Covid-19, nécessaire à l’entrée du virus SARS-CoV-2 dans les cellules de l’hôte", détaille l'Inserm. 

Finalement, cette étude aura permis de démontrer que le niveau pourrait finalement être suffisant pour faciliter l’entrée du virus. En effet, les patients décédés affichaient, eux aussi, un taux de cette protéine.

Photo : les dommages au cerveau de la COVID-19 en image

Les médecins travaillent depuis plusieurs mois sur les conséquences de la COVID-19 sur le cerveau. La Société de radiologie d'Amérique du Nord a profité de son congrès annuel pour dévoiler des images des lésions cérébrales que provoque le coronavirus chez certains patients.  

Une étude multi-institutionnelle, portant sur près de 40 000 patients hospitalisés pour la COVID-19 de 7 hôpitaux universitaires américains et 4 européens, a mis en évidence que 1% des malades pris en charge sont susceptibles de développer des complications au niveau du système nerveux central.

"Il y a eu beaucoup d’écrits sur les problèmes pulmonaires globaux liés à la COVID-19, mais nous ne parlons pas souvent des autres organes qui peuvent être touchés", explique l'auteur principal Scott Faro de l'Université Thomas Jefferson. "Notre étude montre que les complications du système nerveux central représentent une cause importante de morbidité et de mortalité dans cette pandémie dévastatrice".

Les patients avaient un âge moyen de 66 ans. Plusieurs d’entre eux présentaient des comorbidités telles que l'hypertension, des maladies cardiaques ou du diabète. La cause la plus fréquente d'admission était la confusion, l'altération de l'état mental et la fièvre. Les examens d’imagerie ont révélé qu'il y avait 442 résultats de neuro-imagerie aiguë qui étaient très probablement associés à l'infection virale.

twitter.com/maureenmorley/status/1465084461737988105

L’AVC : la complication la plus fréquente

"Pour tous les patients hospitalisés qui ont subi une imagerie telle qu'une IRM ou une tomodensitométrie du cerveau, l'examen était positif environ 10 % du temps", a précisé le Dr Scott Faro. "L’incidence de 1,2% signifie qu’un peu plus d’un patient sur 100 admis à l’hôpital avec COVID-19 va avoir un problème cérébral quelconque", conclut-il.

Les troubles neurologiques les plus observés étaient l'accident vasculaire cérébral ischémique (62%), suivie de l’hémorragie intracrânienne (3,72%) et de l’encéphalite (0,47%).

Image d'une hémorragie cérébrale observée chez une femme de 56 ans atteinte de la covid-19

Image d'une hémorragie cérébrale observée chez une femme de 56 ans atteinte de la covid-19

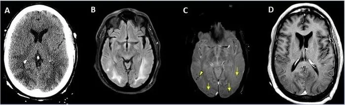
Image des complications cérébrales observées chez un homme de 65 ans atteint de la covid-19 

Image des complications cérébrales observées chez un homme de 65 ans atteint de la covid-19

La covid-19 crée des “vaisseaux fantômes” dans le cerveau

La covid-19 crée des “vaisseaux fantômes” dans le cerveau

Des chercheurs européens dont des français (CNRS/Inserm/Institut Pasteur de Lille/Université de Lille/CHU de Lille) ont mis en avant que le SARS-CoV-2 a un effet direct sur les vaisseaux sanguins du cerveau.

Selon leurs travaux, une infection à la covid-19 pourrait provoquer la mort des cellules endothéliales vasculaires cérébrales, composantes de la barrière hémato-encéphalique qui protège le cerveau. “Ce qui donnerait lieu à l’apparition de "vaisseaux fantômes" dans le cerveau (c’est-à-dire des tubes vides, sans cellules endothéliales)”, précisent les auteurs de l’article paru dans la revue Nature Neuroscience, le 21 octobre 2021. 

Comment la covid-19 attaque le cerveau ?

L’équipe scientifique a cherché à comprendre le processus qui entraînait la mort de ces cellules. Selon eux, le SARS-CoV-2 fait produire aux cellules endothéliales qu'il a infecté, des ciseaux moléculaires depuis son matériel génétique. “Ces ciseaux vont couper une protéine appelée NEMO, indispensable à la survie des cellules endothéliales qui vont donc mourir”, précise les chercheurs.

La disparition des cellules endothéliales vasculaires présente dans le cerveau est susceptible de provoquer deux complications : 

  • Une rupture temporaire de la barrière hémato-encéphalique : cela conduit à des microhémorragies dans des zones où le sang n’est pas censé accéder librement.
  • Un afflux sanguin insuffisant dans certaines régions du cerveau (due à la présence de vaisseaux fantômes non fonctionnels) : l’Inserm précise qu’une "diminution du débit sanguin peut entraîner le décès des patients dans les cas les plus graves".

Les scientifiques estiment que la présence des vaisseaux fantômes est réversible. Toutefois, ils se demandent si cette période de mauvaises irrigations du cerveau ne pourrait pas augmenter les risques de développer des troubles cognitifs, neurodégénératifs, voire des démences.

“Cette prise de conscience de la gravité de l’infection par le SARS-CoV 2 et ses conséquences pour le bon fonctionnement de notre cerveau est capitale pour permettre la meilleure prise en charge possible des patients ayant été infectés dans les années à venir”, estime Vincent Prévot, directeur de recherche à l’Inserm qui a travaillé sur cette recherche.

Perte de l'odorat : les zones du cerveau traitant les informations olfactives affectées

Perte de l'odorat : les zones du cerveau traitant les informations olfactives affectées

Jérôme Salomon, directeur général de la Santé, a mis en garde les Français contre des nouveaux symptômes spécifiques de la COVID-19 : les otorhinolaryngologistes (ORL) ont observé "une recrudescence des cas d'anosmie, une disparition brutale de l'odorat, mais sans nez bouché, et parfois accompagnée d'une agueusie, disparition du goût", chez les patients atteints par le coronavirus.

En Allemagne, le professeur Hendrik Streeck, directeur de l’institut de virologie de Bonn indique avoir "constaté ces nouveaux symptômes chez les deux tiers des patients".

Une étude rendue publique le mercredi 1ᵉʳ avril 2020 nous a permis de considérer la perte de goût et de l'odorat, comme des symptômes fréquents du coronavirus.

node/5559533

Perte du goût et de l'odorat : la preuve que le virus s'attaque au système nerveux

Selon les experts chinois (étude parue dans le Journal of Clinical Virology), ces symptômes sont un indicateur important que quelque chose ne fonctionne pas dans le cerveau. La perte de ses deux sens s'expliquerait par la capacité du coronavirus à s'attaquer à notre système nerveux, en endommageant les zones traitant les informations olfactives (relative à l'odorat).

AVC : le Covid-19 pourrait modifier la circulation vasculaire cérébrale

AVC : le Covid-19 pourrait modifier la circulation vasculaire cérébrale

Dans les cas les plus graves, le coronavirus peut mener à un accident vasculaire cérébral (AVC) ou à une hémorragie cérébrale, selon plusieurs études. 

Des chercheurs chinois sont parvenus à ce résultat après avoir examiné 214 patients, touchés par une forme grave de la covid-19. Les malades ont été traités dans la ville de Wuhan (Chine) pendant la première phase de la pandémie mondiale. Au total, 36 % des patients chinois ont subi des symptômes neurologiques.

Covid- 19 : "six cas d'AVC ou d'hémorragie cérébrale parmi les personnes"

"Il y avait au moins six cas d'AVC ou d'hémorragie cérébrale parmi les personnes étudiées", selon les chercheurs.

Pour expliquer ce phénomène, Jérôme Salomon, directeur général de la Santé interviewé par Medisite, évoque des modifications de la circulation vasculaire cérébrale causées par la Covid-19, "qui serait potentielle chez les patients les plus graves". Il maintient néanmoins, qu'à ce jour, il ne s'agit que d'une hypothèse.

node/5563885

Coronavirus : et si les difficultés respiratoires étaient dues à l'atteinte cérébrale ?

stethoscope and lung illustration medical tool for diagnosing of diseases of lungs health care and medicine concept
Coronavirus : et si les difficultés respiratoires étaient dues à l'atteinte cérébrale ?

Yan‐Chao Li de l’Académie des sciences chinoise et Pékin et ses collaborateurs ont analysé des données acquises sur des patients atteints de diverses formes de coronavirus. D’après eux, l’infection du tronc cérébral par le virus pourrait, au moins partiellement, expliquer la défaillance respiratoire des malades aujourd’hui touchés par les formes graves de la Covid-19.

L'atteinte au cerveau pourrait expliquer les arythmies cardiaques et troubles respiratoires

D’après les chercheurs chinois, la détresse respiratoire des patients ne serait pas due aux dégâts des virus sur les poumons. Ces derniers estiment que l'atteinte cérébrale pourrait expliquer ces troubles respiratoires. "L'hypothèse est que le virus pénètre dans le tronc cérébral via les voies nerveuses. Des fonctions importantes en dépendent, notamment le contrôle des conditions cardiovasculaires et respiratoires, de sorte que des arythmies cardiaques dangereuses et des troubles respiratoires pourraient être déclenchés", explique Peter Berlit, secrétaire général de la Société allemande de neurologie.

Coronavirus : quand la maladie est silencieuse...

Si un grand nombre de personnes atteintes par le Coronavirus se plaignent de symptômes tels que la toux, la fièvre, les essoufflements ou troubles digestifs, pour d'autres, la maladie est silencieuse

Malgré l'absence de symptômes, des personnes vivant dans des maisons de retraite sont décédées ces dernières semaines, rapporte la presse allemande. Dans une nouvelle étude, des chercheurs chinois fournissent maintenant une explication possible des décès dont les victimes n'avaient auparavant aucun symptôme. Là encore, ce serait l'atteinte au cerveau qui aurait conduit au décès.

Covid-19 : de nouvelles enquêtes sont encore nécessaires

Il existe ainsi de nombreux rapports qui tendent à démontrer que certains coronavirus pourraient pénétrer le système nerveux central ou le cerveau. Cependant, les scientifiques ne peuvent pas encore affirmer à 100% que ce soit également le cas avec le nouveau virus qui nous menace actuellement (Covid-19). Des études et investigations complémentaires sont encore nécessaires.

Afficher les sources de cet article

The Spectrum of Neurologic Disease in the Severe Acute Respiratory Syndrome Coronavirus 2 Pandemic Infection, JAMA Neurology, 10 avril 2020

The neuroinvasive potential of SARS‐CoV2 may play a role in the respiratory failure of COVID‐19 patients, Journal of Medical Virology, 27 février 2020

Evidence of the COVID-19 Virus Targeting the CNS: Tissue Distribution, Host–Virus Interaction, and Proposed Neurotropic Mechanisms, Chemical Neuroscience, 13 mars 2020

Befällt das Coronavirus das Gehirn? Studie zeigt Auswirkungen auf Geruch und Geschmack, inFranken.de, 3 mars 2020

Cognitive deficits in people who have recovered from COVID-19 relative to controls: An N=84,285 online study, MedRxiv, 21 octobre 2020

https://presse.inserm.fr/covid-19-quel-impact-de-linfection-au-sars-cov-2-sur-lirrigation-vasculaire-du-cerveau/44010/

Google News Voir les commentaires