Image : voici le fœtus le plus heureux du monde

Publié par La Rédaction Médisite
le 09/03/2015
Autre
©Georges Gillard
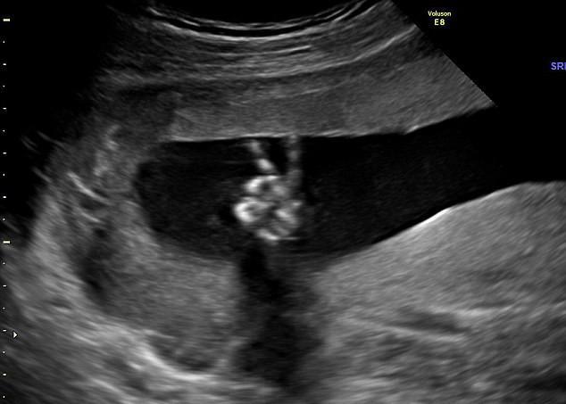
Lors d’une échographie, Mr et Mme Parsons ont eu l’agréable surprise de voir leur bébé de 20 semaines former un "V" avec ses doigts, synonyme de "victoire".

"Si c’est un garçon, nous l’appellerons Winston" a déclaré Dee Parsons au site du Dailymail, en référence à Winston Churchill qui avait arboré le signe "V" pour la "Victoire" des Alliés. Enceinte de 20 semaines, cette future maman britannique de 35 ans a pu constater avec amusement que son bébé allait très bien lors d'une échographie où celui-ci a fait le signe "V" en tendant l’index et le majeur.

Lire aussi: le foetus le plus cool du monde

Un bébé "peace"

Cette échographie pour le moins insolite a amusé les parents comme le personnel médical. "C’était la première fois que le médecin voyait une telle image" a précisé Dee Parsons. "C’est agréable de voir que son enfant fait un signe de paix alors qu’il se passe tellement de choses horribles dans le monde" a-t-elle ajouté. Connu pour indiquer une victoire ou une réussite, ce signe peut être aussi un symbole de paix ou désigner deux personnes. De manière plus anecdotique, c’est également le salut des motards.

Vidéo. 9 mois de grossesse en 2 minutes 12 chrono !

Google News Voir les commentaires