(Photo) les poumons post-Covid semblent pires que ceux des fumeurs, prévient une chirurgienne

Publié par Sophie Raffin
le 18/01/2021
Adobe Stock
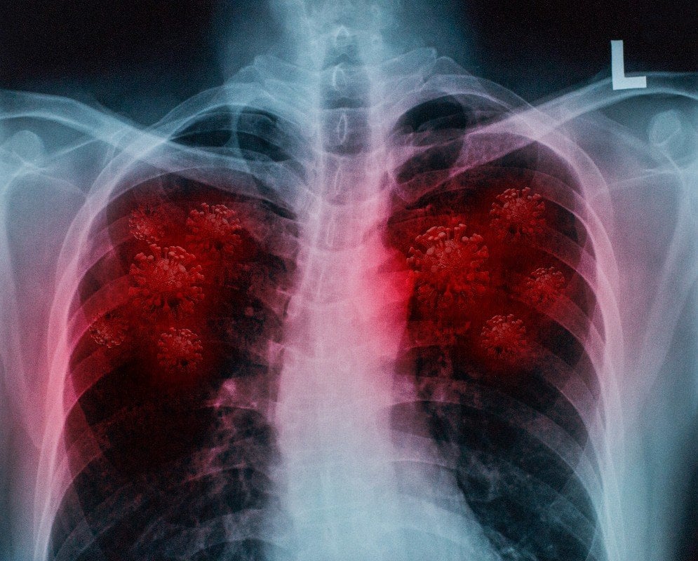
La Dr Brittany Bankhead-Kendall, une chirurgienne américaine tire la sonnette d’alarme. Les poumons des personnes guéries de la COVID-19 sont dans un moins bon état que ceux des fumeurs. La professionnelle qui a traité des centaines de malades a appuyé ses propos publiés sur Twitter avec des photos de scanner.

Alors que certains peinent à suivre les recommandations de distanciation sociale et que d’autres hésitent à se faire vacciner contre la covid-19, la Dr Brittany Bankhead-Kendall a utilisé son compte Twitter pour faire part d’une terrible séquelle de la maladie. Les poumons des personnes infectées restent très atteints après la maladie.   

COVID-19 : de nombreuses lésions inquiétantes sur les poumons

La chirurgienne et professeure assistante au TexasTech University Health Sciences Center prévient qu’il est rare que les radiographies des patients atteints de la COVID-19 reviennent sans cicatrice et lésion visible. Elle a écrit via son compte Twitter, le 4 janvier 2021 : "Je ne sais pas qui a besoin d’entendre cela, mais les poumons post-Covid semblent pires que n’importe quel poumon des plus gros fumeurs que nous ayons jamais vu". Elle ajoute ensuite "ils s'effondrent. Ils ont des caillots. Et l'essoufflement persiste ... encore et encore ... et ainsi de suite".

twitter.com/BKendallMD/status/1346030479112331265

Interrogée après la parution de son message par la rédaction de la chaine CBS à Dallas/Forth Worth, la professionnelle de la santé a appuyé ses propos avec 3 scanners : des poumons sains, ceux d'un fumeur et ceux d’un patient ayant eu la COVID-19.

twitter.com/MarkieMartin/status/1346529104405913601

La Dr Bankhead-Kendall ne cache pas son inquiètude dans les médias. Selon son expérience avec la maladie, tous les patients symptomatiques présentent une radiographie pulmonaire problématique. Mais ils ne sont pas les seuls ! 70 à 80% des patients ayant eu des formes asymptomatiques ou très légères présentent des lésions importantes et nombreuses.

"Tout le monde est tellement préoccupé par la mortalité et c’est terrible et horrible. Mais, tous les survivants et les gens qui ont été testés positifs vont représenter un problème", prévient le Dr Bankhead-Kendall.

Elle déplore : "il y a encore des gens qui disent : “Je vais bien, je n’ai aucun problème” et vous regardez leur radiographie thoracique et elle absolument mauvaise".

En effet, les scanners des poumons sains sont majoritairement noirs, ces zones sombres montrent l'air présent. Avec le poumon du fumeur, des lignes blanches indiquent des cicatrices et une congestion. Alors que le scanner des poumons COVID est rempli de taches blanches. 

La chirurgienne prévient : "si vous ne ressentez pas de problèmes maintenant, le fait que cela soit sur votre radiographie thoracique indique certainement que vous pourriez avoir des problèmes plus tard”. 

Elle reconnaît néanmoins qu’il est encore tôt pour connaître l’étendue de l’impact du coronavirus sur le corps ou pour savoir si les nombreuses lésions détectées dans les poumons post-covid peuvent finir par guérir. La médecin conseille en revanche aux personnes ayant été infectées par le SARS-CoV-2 de consulter leur médecin si des troubles persistent après la guérison, et plus particulièrement en cas d'essoufflement.

Afficher les sources de cet article

Texas Trauma Surgeon Says ‘Post-COVID Lungs Look Worse Than Any Type Of Terrible Smokers Lung We’ve Ever Seen, 21 CBS DFW, 13 janvier 2021

Google News Voir les commentaires