AVC : des séquelles sur la vision

Publié par La Rédaction Médisite
le 06/02/2017
Maj
le 06/02/2019
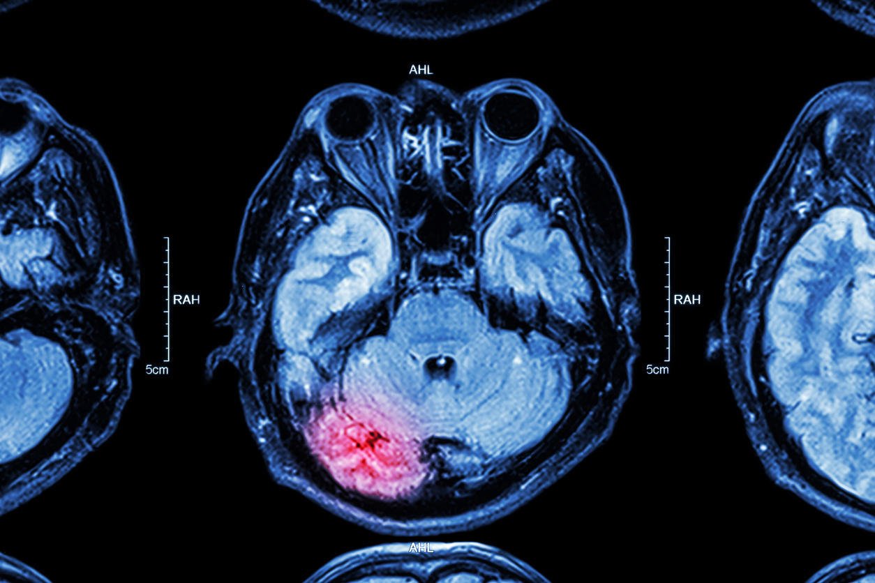
irm de lésion cérébrale cérébrale
Istock
Suite à un accident vasculaire cérébral (AVC), il n'est pas rare de présenter des séquelles. En effet, avec plus de 130 000 victimes chaque année en France, cette attaque cérébrale constitue la première cause de handicap provoqué. Mais quelles sont les séquelles d'un AVC ? Quelles atteintes peuvent affecter la vision ?

Symptômes d'un accident vasculaire cérébral

L'AVC est une urgence médicale, d'où l'importance de connaître les symptômes annonciateurs. La difficulté réside dans le fait que ces symptômes peuvent être très variables en fonction de la localisation de la lésion. Néanmoins, d'une façon générale, en cas d'AVC, on retrouve une faiblesse musculaire qui s'accompagne d'une paralysie et d'une perte de sensibilité des membres (ou du visage) d'un seul côté (hémiplégie), des troubles d'élocution, des difficultés à conserver son équilibre et à coordonner ses gestes. Des troubles de la vision sont également fréquemment observés. En général, un seul œil est concerné et il peut être soit complètement aveugle, soit ne donner à voir que la moitié du champ visuel (hémianopsie) ; il peut également présenter une diplopie (vue double).

Traitement de l'AVC

La réussite du traitement dépend de la rapidité de la prise en charge du patient qui fait un accident vasculaire cérébral hémorragique. En effet, plus le patient est traité tôt, moins il aura de séquelles et ses chances de survie seront augmentées. Le traitement, dans un premier temps, a pour but de localiser l'origine de l'hémorragie par imagerie médicale, scanner ou IRM (Imagerie par résonance magnétique). L'arrêt de l'hémorragie, le rétablissement de la circulation sanguine et de la pression artérielle dans le cerveau seront réalisés ensuite par l'administration d'un traitement médicamenteux ou par la chirurgie. 

La prise en charge immédiate du patient atteint est également un facteur primordial de réussite du traitement de l'AVC ischémique. Admis dans une unité hospitalière spécialisée, le malade est placé sous perfusion afin d'effectuer ce qu'on appelle une thrombolyse. Ce traitement médicamenteux vise à résorber le caillot responsable de l'obstruction artérielle. Plus le dispositif thérapeutique est mis en œuvre rapidement, plus les chances de limiter les lésions cérébrales induites par une privation d'oxygène seront importantes.

Séquelles d'un AVC

Certains AVC peuvent laisser des séquelles. En effet, sur les 70 % de personnes qui survivent plus d'un an après un AVC, 40 % présentent d'importantes séquelles. Les plus fréquentes s'apparentent aux symptômes observés au cours de l'AVC : hémiplégie avec des difficultés à marcher normalement, troubles de l'équilibre (50 % des patients), problèmes de mémoire (42 % des cas) et troubles du langage (34 % des patients). Par ailleurs, 23 % des victimes d'AVC présentent des séquelles visuelles.

La coordination d'un ensemble de professionnels de la santé sera nécessaire à sa réadaptation et pour la correction de ses séquelles (kinésithérapeute, orthophoniste, psychologue, infirmière).

Google News Voir les commentaires