Douche : 7 objets qui peuvent vous rendre malade !

Publié par Aurélie Blaize
le 31/07/2014
Maj par Emmanuelle Jung
le 11/02/2020
jeune beauté appréciant sous la douche
Istock
Vos habitudes sous la douche peuvent mettre à mal votre santé. On passe en revue sept objets dont il faut vous méfier, avec le Pr Stéphane Gayet, infectiologue, hygiéniste au CHU de Strasbourg.

Champignons, moisissures, germes, légionelles… Ces bactéries tant redoutées se cachent dans votre salle de bain, dans des endroits où vous ne les attendez pas. Particulièrement dans votre douche, si l'on en croit les mises en garde du Pr Stéphane Gayet, infectiologue et hygiéniste.

Et pour cause, les bactéries affectionnent particulièrement la chaleur et l’humidité. "Ce sont des éléments essentiels à leur survie", nous précise le Pr Gayet. Dans votre maison, la salle de bain et les toilettes font donc partie des pièces les plus propices à la profusion de bactéries. 

Serviettes de toilettes, rasoirs, gant de toilette ou même pomme de douche… Ces derniers stagnent quotidiennement dans l’humidité, ce qui les rend si populaires chez les bactéries. Ces objets nécessitent d’être nettoyés et traités régulièrement, voire remplacés. Et surtout, ils ne devraient pas être partagés.

Les bactéries sont-elles toutes dangereuses pour l'Homme ?

Le monde vivant bactérien présent sur terre comporte au bas mot des millions d'espèces. "Sur ces quelques millions d'espèces bactériennes, entre 100 et 150 sont connues comme pathogènes pour l'Homme. Un microorganisme est qualifié de pathogène, s'il est capable de contribuer à une infection chez l'Homme" clarifie le Pr Stéphane Gayet.

"On préfère parler d'espèces potentiellement pathogènes, car il y a encore des différences au sein de chaque espèce bactérienne". Au sein d'une espèce bactérienne, potentiellement pathogène, comme le staphylocoque doré (genre Staphylococcus, espèce aureus) par exemple, il existe des souches très pathogènes et au contraire des souches peu pathogènes.

Parmi les quelque 100 à 150 espèces bactériennes potentiellement pathogènes, la très grande majorité a pour réservoir le corps humain.

"C'est là une notion fondamentale largement ignorée, y compris chez les professionnels de santé, poursuit le professeur. Quand elles se trouvent en dehors du corps humain, certaines bactéries meurent rapidement, d'autres peuvent persister quelque temps, voire se multiplier si les conditions leur sont favorables".

Douche : à quels genres de bactéries êtes-vous exposé ?

Parmi les risques sous la douche, le Pr Gayet évoque le staphylocoque doré (si vous avez une plaie : abcès, panaris...). Il s’agit de l’espèce la plus pathogène du genre Staphylococcus, responsable d’intoxications alimentaires, abcès et autres infections et dans certains cas d’infections mortelles. Les staphylocoques se transmettent en cas d’infection de la peau, mais aussi à partir d’objets contaminés par la bactérie comme les serviettes, mais aussi les taies d’oreiller ou les téléphones.

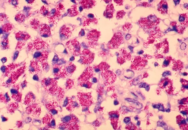
L’infectiologue mentionne aussi la bactérie Mycobacterium avium, à l’origine de certaines infections pulmonaires chez les personnes affaiblies. Sa prévalence peut être 100 fois plus importante dans la douche qu'au niveau des autres robinets de la maison.

Photo : Mycobacterium avium-intracellulare 

Douche : à quels genres de bactéries êtes-vous exposé ?

En outre, la douche peut aussi vous exposer aux légionelles. "Ces bactéries aquatiques sont responsables de la maladie des légionnaires qui peut être grave", d'après l'expert.

"Elle entraine une infection pulmonaire aigüe. L’émergence récente de cette maladie s’explique par son affinité pour les systèmes modernes d’alimentation en eau comme les tours de refroidissement, les climatiseurs, les bains à jet, les bains à remous (jacuzzi), les canalisations d’eau chaude, etc", détaille l'Institut Pasteur.

Afficher les sources de cet article

Merci au Pr Stéphane Gayet, infectiologue, hygiéniste au CHU de Strasbourg

Le Petit Guide Santé du Ménage rédigé par nos médecins, Association Santé Environnement France

Escherichia coli, informations et traitements, Institut Pasteur

Légionelle, Institut Pasteur

L'éponge en fibres naturelles

1/8
loofah on a pink background organic natural sponge zero waste, environmental protection
Istock

L'éponge en fibres naturelles gomme la peau et la rend plus douce...mais à quel prix ? Une étude publiée il y a quelques années dans le Journal of Clinical Microbiology avait démontré que cette éponge pouvait héberger plusieurs bactéries. Si elle est hygiénique à l'achat, elle devient un foyer bactérien dans la chaleur humide de la salle de bain.

"Les éponges naturelles sont encore plus facilement contaminées que les éponges synthétiques et de surcroît impossibles à décontaminer en raison de leur grande porosité et de leur particulière fragilité. Il faut donc se résoudre à les changer souvent", alerte le Pr Gayet.

Le rideau de douche

2/8
shower curtain hanging from a chrome shower curtain rod
Istock

Il habille joliment votre salle de bain... Mais dans quel état se trouve votre rideau de douche ? Regardez bien, surtout vers le bas. Est-il toujours aussi blanc qu'au moment où vous l'avez acheté ? Probablement non.

À force d'être laissé contre les bords de la baignoire, encore mouillé et imprégné de savon, il a jauni voire pire, il présente des traces de moisissures.

Un conseil : coupez le rideau de douche pour qu'il ne trempe pas trop dans la baignoire, secouez-le puis sortez-le de la baignoire après chaque douche afin qu'il sèche à l'extérieur. Enfin, passez-le en machine (s'il s'agit d'un rideau en tissu) et ne le laissez pas plié. Ouvrez-le pour qu'il sèche bien avant la prochaine utilisation. En outre, changez-en régulièrement : votre rideau de douche ne devrait rester qu'un an maximum.

Le gant de toilette

3/8
flat lay concept of body care bath accessories on bright yellow background minimal composition of woman's hand with blue manicure next to coarse mitten washcloth
Istock

Le gant de toilette est un accessoire très utile pour se laver le visage, le cou et les épaules, les aisselles, la région génitale et la région fessière, ainsi que les jambes et les pieds. Il permet de frotter et peut servir à se laver partiellement le corps quand on ne peut pas prendre une douche. Un bon conseil : faites-le bien sécher et lavez-le très régulièrement !

"Laissé à l’abandon sur le rebord de votre lavabo ou de votre baignoire, le gant de toilette est un nid à champignons parfait", met en garde le Pr Stéphane Gayet. Et pour cause, insuffisance d’aération, humidité et chaleur y favorisent la prolifération microbienne.

La fleur de douche

4/8
close-up of vivid turquoise blue fluffy sponge on pink background
Istock

Douce, agréable sur la peau, la fleur de douche est l’accessoire irremplaçable des salles de bain. Mais elle peut aussi devenir une ennemie quand elle n’est pas assez chouchoutée.

"Tout comme les gants de toilette, les fleurs de douche peuvent être de vrais nids à champignons, ajoute Stéphane Gayet. Le mieux c’est de bien les rincer après chaque utilisation, de les faire bien sécher et de les changer tous les 2 mois".

La serviette de toilette

5/8
white beach towel mock up isolated with clipping path on pink background, flat lay top view
Istock

La serviette de toilette est indispensable à la sortie de la douche. Cependant, attention : elle peut aussi être votre ennemie. Avant de l'utiliser, il convient de vérifier dans quel état elle se trouve. A-t-elle séché sur le sèche-serviette ou a-t-elle été abandonnée en boule sur le sol ? Est-elle encore mouillée ?

"Si oui, elle est très certainement chargée en champignons", explique le professionnel. 

Pour rappel, une serviette de toilette ne se prête pas, elle doit être bien séchée avant la prochaine utilisation et lavée une fois par semaine.

La pomme de douche

6/8
shower head with water drop flowing
Istock

La pomme de douche est propice au développement de germes en tous genres. 

"Une étude a montré récemment qu’elle pourrait peut-être participer à la transmission d'une bactérie suspectée d'être à l'origine de la maladie de Crohn, rapporte l'infectiologue Stéphane Gayet. Une autre menée aux États-Unis a souligné que le niveau de Mycobacterium avium, bactérie à l’origine de certaines infections pulmonaires chez les personnes affaiblies, pouvait être 100 fois plus élevé dans les pommes de douche que dans les autres robinets de la maison".

En outre, la pomme de douche est un redoutable réservoir de légionelles, ces bactéries aquatiques responsables de la maladie des légionnaires qui peut être grave, d'après l'expert.

"Le mieux est de la détartrer une fois par semaine ou au moins tous les quinze jours, de laisser couler l’eau chaude trente secondes à puissance maximum avant de s’en servir, si elle n’a pas été ouverte depuis longtemps", préconise Stéphane Gayet.

Les rasoirs et pinces à épiler

7/8
wet disposable razor on blue background with water drops
Istock

"Dans la salle de bains, les hommes peuvent développer une infection de la pilosité faciale en se rasant avec un rasoir contaminé par des bactéries. Attention, le risque est le même pour les femmes qui se rasent les aisselles, les jambes, les cuisses, ou encore le pubis.

Une des erreurs les plus courantes ? Laisser le rasoir dans un coin de la douche. Il baigne alors dans l’eau stagnante et favorise la prolifération de bactéries. En outre, il est à portée de main des autres membres du foyer. Or, le rasoir est à usage strictement personnel. Au même titre que la brosse à dents et la pince à épiler.

"On peut donc développer une infection en cas de plaie, de brûlure ou de toute éruption cutanée [ce qui est souvent le cas lorsqu’on utilise le rasoir !, ndlr], du moins si la lésion est contaminée par un nombre important de bactéries pathogènes", dévoile le Pr Gayet. On cite le risque de rougeur, abcès et panaris. La plupart des abcès sont provoqués par la bactérie Staphylocoque doré et apparaissent sous forme de poches remplies de pus à la surface de la peau.

Voir la suite du Diaporama
Google News Voir les commentaires