Ingrid Chauvin victime d'une double pneumonie : la guérison plus longue que prévue

Publié par Louise Ballongue
le 14/01/2020
Maj par Emmanuelle Jung
le 24/01/2020
abacapress
Malade depuis plusieurs semaines, Ingrid Chauvin ne peut assurer les tournages de la série “Demain nous appartient”. Elle est atteinte d’une double pneumonie. Malheureusement, son rétablissement prend plus de temps que prévu...

2020 ne commence pas sous les meilleurs auspices pour . Tombée malade au moment des fêtes, elle n’avait pas tardé à informer ses fans de son état de santé.

“Nous vous souhaitons une très belle année 2020, avec une meilleure santé que la mienne en ce moment !”, déclarait la comédienne le 31 décembre, sur une photo accompagnée de son compagnon Thierry Peythieu et de leur fils Tom, âgé de 3 ans. Elle annonçait alors être atteinte d’une .

Atteinte d'une double pneumonie, la star de Demain Nous Appartient s'est vu contrainte d'interrompre les tournages de la série. Malheureusement, son rétablissement prend plus de temps que prévu : Ingrid Chauvin doit aussi renoncer à une autre mission. Elle devait présider le jury du concours de Miss Excellence France 2020, le 18 janvier dernier...

"Je reviendrai dès que j'aurai repris un peu de forces"

Le mercredi 8 janvier, Ingrid Chauvin se dévoile à nouveau dans un post Instagram.

"Après trois semaines compliquées, je peux désormais reprendre des forces à la maison avec le bon traitement", avait-t-elle écrit.

Son message est accompagné d’une photo prise depuis son lit, sur laquelle on aperçoit un joli coucher de soleil. En commentaire de l’image, Ingrid Chauvin a ajouté le mot “Convalescence”.

www.instagram.com/p/B7ELuQSiLTN/?utm_source=ig_web_copy_link

Le bon traitement, en l'occurrence, c'est celui qui lui permet de traiter sa double pneumonie. Car ses soucis de santé ont obligé à s'absenter du tournage de Demain nous appartient. "Je reviendrai dès que j'aurai repris un peu de forces", confiait-elle.

Si elle s’est voulue rassurante, celle qui interprète Chloé Delcourt dans la série à succès de TF1 a, une nouvelle fois,

Ils lui ont souhaité un bon rétablissement : “Reposez-vous bien”, “Oh mince, bon rétablissement, à très vite sur TF1 j’espère”, “Soignez-vous bien Ingrid” ou encore “Bon rétablissement, courage !”, peut-on lire parmi les commentaires.

Ingrid Chauvin : ses activités stoppées par le corps médical pour plusieurs semaines

Ingrid Chauvin devait présider le jury du concours de beauté Miss Excellence France 2020 à Saint-Orens-de Gameville, en Haute-Garonne, le 18 janvier dernier. Hélas, là encore, son état de santé l'a obligé à renoncer à cet évènement. Le comité a annoncé la mauvaise nouvelle via un communiqué, partagé sur leur page Facebook.

"Pour des raisons de santé (...), nous apprenons avec grand regret que la Comédienne Ingrid CHAUVIN ne pourra nous rejoindre samedi. Elle aura attendu jusqu'à la dernière minute mais le verdict est tombé et le corps médical l'a stoppé de ses activités durant plusieurs semaines."

Une annonce sans appel, qui a obligé le comité à trouver un remplaçant à la dernière minute, en la personne de Franck Monsigny, acteur et dramaturge français.

www.facebook.com/plugins/post.php?href=https%3A%2F%2Fwww.facebook.com%2Fcomitemissexcellencefrance%2Fposts%2F2791748314217942&width=500*500*301

Pneumonie : une infection pulmonaire qui peut s'avérer mortelle

La  est une infection respiratoire aiguë du tissu pulmonaire, due à une bactérie. Elle atteint une partie de l'un des deux poumons.

Elle peut être due à plusieurs types de bactéries. Le plus souvent, c'est une bactérie appelée Streptococcus pneumoniae ou pneumocoque qui en est la cause.

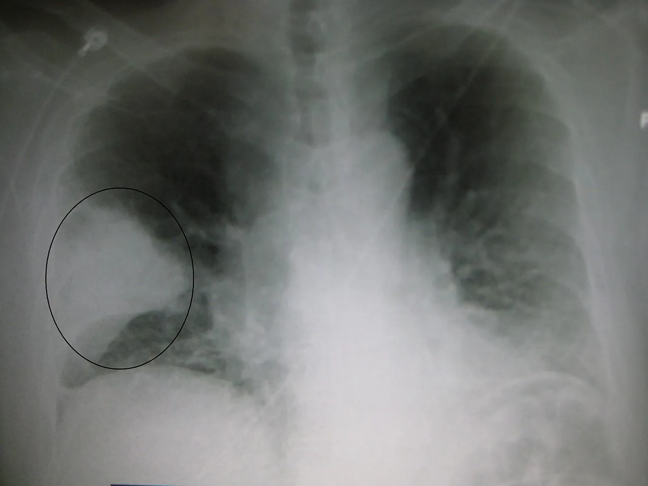
Une pneumonie sévère du lobe du poumon droit :

Une pneumonie sévère du lobe du poumon droit :

D'autres germes bactériens sont moins fréquemment en cause : Mycoplasma pneumoniae, Chlamydia pneumoniae, Legionella pneumophila, Haemophilus influenzae...

La bactérie Streptococcus pneumoniae ou pneumocoque n'est pas transmise d'une personne à l'autre et il n'y a donc pas d'épidémies.

En revanche, la bactérie Mycoplasme pneumoniae se transmet par inhalation de particules respiratoires et peut donc être responsable de petite épidémies, notamment en collectivité (famille, classe, bureau...).

La pneumonie aiguë est dite "communautaire" lorsqu'elle est acquise en dehors d'une hospitalisation ou dans les 48 heures suivant une entrée à l'hôpital ou en clinique.

Une peut survenir lors d'une hospitalisation surtout si elle a lieu en réanimation avec assistance respiratoire : dans ce cas, il s'agit d'une infection nosocomiale.

En France, chaque année, on dénombre environ 500 000 cas de pneumonie.

Comment survient une pneumonie ?

Généralement les présents dans l'air pénètrent dans les poumons par les voies respiratoires lors de la respiration. Mais ils peuvent provenir de la bouche ou de la sphère ORL. Les germes peuvent aussi se transmettre par l'intermédiaire d'objets contaminés.

Lorsque ces bactéries pénètrent dans les alvéoles, elles provoquent une inflammation. Les alvéoles se remplissent alors de pus et de liquide, ce qui provoque les symptômes de la pneumonie.

Bon à savoir : Les pneumonies bactériennes sont peu contagieuses par contact direct, contrairement aux .

Pneumonie bactérienne : quels traitements ?

chest x-ray in hands of medical worker
Pneumonie bactérienne : quels traitements ?

Le traitement de la pneumonie bactérienne nécessite l'utilisation pour éliminer la bactérie responsable de l'infection. Il doit être commencé le plus tôt possible.

Le type d’antibiotique utilisé dépend de la bactérie suspectée, de l'état général de la personne et de la gravité de la pneumonie.

En général, le traitement de premier choix repose sur l’utilisation d’ (associée ou non à l’acide clavulanique), ou de spiramycine ou de pristinamycine.

Si les symptômes ne s’améliorent pas en quelques jours, le médecin peut être amené à changer d’antibiotique.

L'hospitalisation en cas de complications

Lorsque la pneumonie est responsable de complications ou lorsque l'état général de la personne se dégrade, une hospitalisation est nécessaire et le traitement antibiotique est adapté.

Si les symptômes suivants apparaissent, vous devrez contacter rapidement votre médecin :

  • des vous empêchant de garder les antibiotiques que vous avez pris par voie orale ;
  • une aggravation des symptômes malgré le traitement.
Afficher les sources de cet article

Demain nous appartient : Ingrid Chauvin explique les causes de son absence, Gala.fr, 13 janvier 2019.

Pneumonie : définition et facteurs de risque, Améli.fr, 14 novembre 2019.

Google News Voir les commentaires