Des cailloux de calcium dans son cerveau à l’origine de ses migraines

Publié par Sarah Frise
le 22/04/2014
Autre
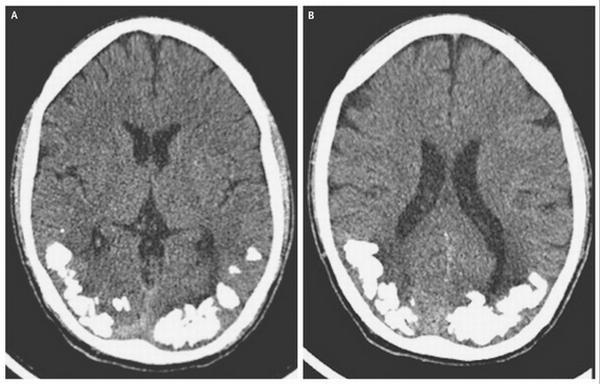
© capture d'écran The New England Journal of Medicine
Un homme a découvert que les maux de tête dont il souffrait depuis une dizaine d’années étaient dus à des  cailloux de calcium dans son encéphale.

Il aura fallu 10 ans à ce Brésilien pour connaître la raison de ses violents maux de têtes ainsi que de ses troubles visuels. Après avoir passé un scanner, il a appris que des cailloux de calcium se trouvaient à l’arrière de son cerveau, dans la zone responsable de la vue. Ils étaient le résultat d’une maladie cœliaque ou intolérance au gluten. Des tests ont révélé la présence d’anticorps associés à cette pathologie dans son liquide céphalo-rachidien.

Ignorant qu’il souffrait de maladie cœliaque, ce Brésilien a continué de manger des aliments riches en gluten, comme ceux à base de blé, d’orge ou de seigle. Son système immunitaire a alors endommagé la paroi de son intestin grêle, empêchant le corps d’absorber les nutriments.

Une assimilation de fer bloquée

Après le diagnostic, l’homme a entamé un régime sans gluten et la prise de comprimés de fer, ses analyses sanguines ayant révélé une carence. Il s’est également vu prescrire un traitement contre l’épilepsie. Son état s’est alors amélioré. Si les médecins de l’université de São Paulo qui l’ont traité ne peuvent expliquer avec certitude cette accumulation de calcium dans le cerveau, ils supposent que l’incapacité à absorber le fer peut en  être à l’origine.

Des recherches avaient démontré que 60% des personnes souffrant d’intolérance au gluten présentaient des symptômes neurologiques.

Source :DailyMail

Google News Voir les commentaires