Le chanteur Arno est atteint d'un cancer du pancréas

Publié par Louise Ballongue
le 10/02/2020
Creative Commons
Auteur : Tino Jacobs de Belgique. 30 juillet 2005.
Source : https://www.flickr.com/photos/25011275@N04/2361832688/
Crédit CC : https://creativecommons.org/licenses/by/2.0/
Ce samedi 8 février, le chanteur belge Arno a annoncé être atteint d’un cancer du pancréas dans une interview à un quotidien flamand. Il doit se faire opérer la semaine prochaine.

Une bien triste nouvelle pour ses fans. Le chanteur Arno Hintjens a annoncé samedi au quotidien flamand “De Standaard” qu’il va devoir reporter ses concerts en raison d’un cancer du pancréas. Il devra subir une opération la semaine prochaine à Bruxelles, afin de limiter sa propagation.

twitter.com/ParisMatch/status/1226102637323485185

“J'ai presque immédiatement accepté le fait d’avoir un cancer”

Arno Hintjens a appris être atteint d’un cancer du pancréas début novembre.

C’est sa compagne qui l’a alerté sur son étrange “teint jaune”, qui s'avère être l'un des premiers symptômes de la maladie.

D'après les médecins, son cancer aurait été diagnostiqué à un “stade précoce”, ce qui permettrait d'augmenter ses chances de survie. 

Depuis, l’artiste a déjà subi trois séances de chimiothérapie. Mais il en faut plus au rockeur pour stopper ses activités : juste après sa troisième séance, le 20 janvier, le chanteur s’est immédiatement produit sur scène à Bruxelles.

Jeudi dernier, il a même reçu un “Lifetime Achievement Award”, lors de la 13e édition des Music Industry Awards, pour l’ensemble de sa carrière musicale.

Dans l’interview publiée par le quotidien flamand, Arno paraît même “serein” en expliquant sa maladie. “J'ai presque immédiatement accepté le fait d’avoir un cancer”, déclare-t-il.

Désormais, le chanteur veut vivre dans le moment présent. "Hier est mort, demain n'existe pas, je vis aujourd'hui. Je veux être positif. Mais j'espère évidemment que tout ira bien. Je veux toujours écrire des chansons et faire des albums, jouer dans un film et repartir en tournée après ma convalescence. De nombreux concerts sont d’ailleurs programmés en mai, y compris en Belgique."

Si tout se passe bien, le chanteur devrait être remis sur pied d’ici moins de deux mois.

Cancer du pancréas : qu'est-ce que c'est ? 

Le cancer du pancréas est le deuxième cancer de l’appareil digestif après le cancer colorectal, avec près de 10 000 nouveaux cas par an en France.

Il touche plus d'hommes que de femmes et survient le plus souvent après 55 ans.

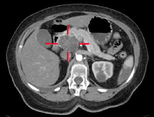
Un adénocarcinome kystique de la tête du pancréas, sur une coupe faite au scanner 

Un adénocarcinome kystique de la tête du pancréas, sur une coupe faite au scanner

S’il est vrai que le facteur héréditaire est parfois mis en cause, la plupart des cancers du pancréas sont associés au tabagisme, à l’alcoolisme, à un diabète non insulinodépendant ou à une mauvaise alimentation.

L’alcool peut être responsable d'une pancréatite chronique, laquelle peut déboucher sur un cancer du pancréas au bout de quelques années.

Toutefois, ce cancer peut survenir en l'absence de tout facteur de risque connu.

Les signes cliniques sont généralement tardifs, dominés par l'altération de l'état général, les douleurs abdominales, éventuellement un ictère.

Le pronostic dépend de l'étendue de la tumeur, de son type et de la qualité de l'acte opératoire.

Le traitement repose avant tout sur la chirurgie. L'objectif de l'intervention est de retirer l'ensemble de la tumeur, bien que cela ne soit malheureusement pas toujours possible.

Le cancer localisé de la tête du pancréas, de moins de 2 cm, est celui qui se soigne le mieux, mais il ne concerne que 10 % de l'ensemble des cas.

Parfois, il arrive que la tumeur ne puisse pas être retirée : la chirurgie ne peut alors être que palliative. Le chirurgien s'évertue alors à assurer le meilleur confort de vie au patient en limitant l'envahissement tumoral.

Malheureusement, le cancer du pancréas a un taux de mortalité assez élevé, même si l’on observe des progrès avec de nouvelles chimiothérapies.

Comment éviter le cancer du pancréas ?

3d illustration of pancreas - part of digestive system, medical concept
Comment éviter le cancer du pancréas ?

La seule prévention possible du cancer du pancréas consiste à éviter les facteurs de risque connus pouvant le favoriser, en particulier l'abus chronique d'alcool ou une alimentation particulièrement riche en graisses animales.

Mais le cancer du pancréas peut aussi survenir en l'absence de tout facteur de risque et il n'y a alors pas de prévention efficace.

Par ailleurs, il n'existe pas d'examen de dépistage systématique qui puisse être proposé face à ce cancer.

Sa traduction clinique est habituellement tardive, donc à un stade évolué de la maladie.

Elle se traduit bien souvent par une altération de l'état général, un amaigrissement, des douleurs abdominales ou encore un ictère (coloration jaune de la peau et/ou du blanc des yeux). Ce dernier symptôme survient lorsque le canal qui assure l'écoulement de la bile est comprimé.

Afficher les sources de cet article

Cancer du pancréas, La ligue contre le cancer, 28 juin 2018.

‘De mensen rondom mij hebben er meer van afgezien dan ik’, www.standaard.be, 8 février 2020.

Le chanteur Arno est atteint d'un cancer du pancréas, Huffpost, 8 février 2020.

Google News Voir les commentaires