Un homme se fracture le pénis à la verticale, pendant un rapport sexuel

Publié par Nicolas Apaire
le 06/07/2021
Adobe Stock
Un Britannique a été victime d’une rupture du pénis, dans le sens de la longueur, durant une relation sexuelle. Il s’agirait du premier cas de fracture de son organe génital à la verticale jamais recensé.

Un quadragénaire a vécu le cauchemar de tout homme : une fracture du pénis. Et d’une façon pour le moins étonnante, puisqu’il a “brisé” son sexe à la verticale, une première, selon les autorités britanniques. En plein acte, la victime de cet accident sexuel aurait “cogné contre le périnée de sa partenaire, l’endroit entre l’anus et les parties génitales”, révèle le British Medical Journal (BMJ).

Une fracture horizontale du pénis, premier cas recensé dans l’Histoire

Bien qu’on ne trouve pas d’os dans le pénis, cet organe est composé d’un corps caverneux, protégé par l’albuginée, une enveloppe fibreuse élastique, et généralement résistante. On parle d’une “fracture” lorsque la couche de protection du tissu érectile, qui pompe le sang vers le pénis est endommagée, du fait d’une “flexion inhabituelle”. 

La plupart du temps, le pénis se déchire de façon horizontale. Mais dans ce cas précis, les médecins ont pu observer une fracture verticale. Le patient n’a pas entendu de “bruit sec” lors de cet accident. Son érection s’est par la suite estompée avec le temps, tandis qu’une fracture transversale aurait provoqué une fin instantanée de l’érection.

Or, c’est l’un des symptômes qui permet aux médecins de détecter une fracture du pénis. À celui-ci s’ajoute une sensation de “roulement” au toucher, qui n’a pas non plus été détecté par les soignants lors de l’examen. De fait, ils ont écarté le diagnostic de fracture, bien que le membre du patient était légèrement gonflé et lui faisait très mal

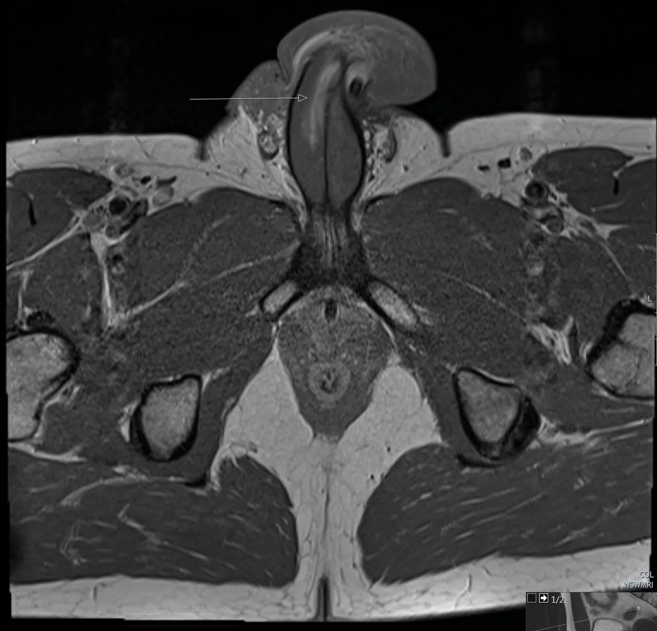
Au bout de six mois, les médecins ont fini par réaliser une IRM, qui a révélé leur erreur de diagnostic. Le quadragénaire présentait une rupture verticale de la tunique albuginée, autrement dit, une déchirure s’étalant sur 3 cm.

L’homme a finalement subi une intervention chirurgicale et, six mois plus tard, il a totalement récupéré de sa blessure. Il peut à nouveau avoir des relations sexuelles, avec la même vigueur d’érection qu’avant.

Une fracture horizontale du pénis, premier cas recensé dans l’Histoire
La radio partagée par la revue médicale British Medical Journal montre d'une flèche l'ampleur de la blessure.

La fracture pénienne, un accident rare mais impressionnant

Selon l’Association Française d’Urologie (AFU), la rupture de l’albuginée du pénis est une pathologie rare, se produisant généralement chez les jeunes adultes, durant un rapport sexuel. On la détecte grâce à une échographie ou une IRM. Il faudra alors opérer un traitement chirurgical, pour “évacuer l’hématome sous-cutané et suturer la déchirure de l’albuginée des corps caverneux” précise l’association.

Les individus les plus touchés sont généralement âgés de 29 ans, au moment où la vigueur et l'activité sexuelle sont à leur apogée, et la moitié des cas rapportés se trouvent au Moyen-Orient et en Afrique du Nord.

Jusqu'à 88,5 % des fractures du pénis surviennent pendant les rapports sexuels, révèle l'article du BMJ. La plupart du temps, il s'agit de relations hétérosexuelles vaginales. Une étude rétrospective sur 20 ans conclut que « la levrette » et « le missionnaire » sont les deux principales positions à l'origine de cet incident.

D'autres causes moins signalées incluent la masturbation, le fait de dormir sur le ventre et le « taqaandan » (la pratique de la détumescence forcée effectuée principalement dans les pays du Moyen-Orient). 

Le nombre de cas totaux demeure sous-estimé, du fait de la pudeur des personnes victimes de cet accident. Honteux de la situation, ils éviteraient d’aller consulter un médecin.

Afficher les sources de cet article

British Medical Journal (BMJ) : https://casereports.bmj.com/content/14/6/e243353

Association Française d'Urologie (AFU) : https://www.urofrance.org/base-bibliographique/prise-en-charge-des-traumatismes-des-corps-caverneux-du-penis

Google News Voir les commentaires