Sinusite aiguë et sinusite chronique : quelle différence ?

Publié par Angéline Galinier-Warrain
le 27/11/2019
portrait de jeune femme qui souffre dans ses sinus
Istock
La sinusite est une inflammation des sinus, les cavités osseuses du visage et du crâne. Les sinusites peuvent être aiguës, récidivantes ou chroniques. Le plus souvent la sinusite est due à des infections virales, bactériennes ou à des réactions allergiques. C’est l’une des affections les plus fréquentes. Le point avec le Docteur Nils Morel, oto-rhino-laryngologiste.

D'où vient la sinusite chronique ou aiguë ?

Les sinus sont, des cavités aériennes, présentes par paires. Ces cavités sont creusées dans le massif osseux de la face et elles communiquent avec les fosses nasales par un orifice étroit.

La sinusite se développe presque toujours en association avec l’inflammation du nez (rhinite), certains médecins l’appelant d'ailleurs rhinosinusite.

La sinusite peut survenir dans l’un des quatre groupes de sinus mais atteint le plus souvent les sinus maxillaires et survient chez l’adulte et l’enfant de plus de 3 ans. Les localisations frontales, ethmoïdales et sphénoïdales sont plus rares mais présentent plus de risques de complications.

Illustration : sinusite

 

Illustration : sinusite

Mis à part les sinus ethmoïdaux qui sont présents à la naissance, les sinus se développent progressivement avec l'âge :

  • Les sinus maxillaires apparaissent à partir de trois à quatre ans,
  • les sinus frontaux, entre cinq et dix ans,
  • et les sinus sphénoïdaux se forment plus tardivement, à partir de dix ans.

Comment reconnaître une sinusite chronique ou aiguë ?

La sinusite peut être aiguë si elle est de courte durée ou chronique lorsqu’elle dépasse 90 jours. Souvent, la douleur est plus sévère dans la sinusite aiguë.

Les symptômes de la sinusite aiguë et de la sinusite chronique sont similaires :

  • Écoulement de pus jaune ou vert du nez.
  • Pression et douleur au niveau du visage.
  • Congestion et obstruction du nez.
  • Sensibilité au toucher et tuméfaction du sinus affecté.
  • Odorat diminué.
  • Mauvaise haleine.
  • Toux productive (accompagnée d'expectorations, de crachats de mucosités souvent épaisses et colorées) spécialement la nuit.
  • Un malaise général.
  • La fièvre et des frissons peuvent apparaître, mais leur existence peut suggérer la diffusion de l’infection au-delà des sinus.

Quels sont les symptômes des différentes sinusites ?

  • La sinusite maxillaire engendre des douleurs au niveau des joues juste sous les yeux, des maux de dents et des céphalées. C’est la forme la plus fréquente de sinusite aiguë.
  • La sinusite frontale entraîne des maux de têtes frontaux.
  • La sinusite ethmoïdale entraîne des douleurs derrière et entre les yeux et des maux de têtes frontaux (souvent décrites comme atroces) au niveau du front.
  • La douleur produite par la sinusite sphénoïdale n’est pas localisée dans une zone parfaitement définie et peut être ressentie dans la région frontale ou la partie postérieure de la tête.

Photo : infection du sinus ethmoïdal

Photo : infection du sinus ethmoïdal

Quelles sont les causes d'une sinusite aiguë ?

  • Une infection virale, et parfois des bactéries, sont souvent à l'origine de la sinusite aiguë.  L’infection se développe souvent après une obstruction des sinus liée en général à une infection virale des voies aériennes supérieures, telles que le rhume.

Pourquoi le rhume favorise-t-il la sinusite ?

Réponse du Docteur Nils Morel :

"Lors d’un rhume, les muqueuses gonflées des fosses nasales ont tendance à boucher les orifices des sinus. L’air présent dans les sinus est absorbé par la circulation sanguine et la pression dans le sinus diminue, provoquant douleurs et sécrétions. Ces sécrétions sont un milieu de culture pour les bactéries."

  • Un abcès dentaire d'une dent maxillaire peut se propager aux sinus voisins.
  • Les allergies provoquent également un gonflement de la muqueuse qui bouche les orifices des sinus.
  • Une éventuelle déviation de la cloison nasale prédispose à l’obstruction des sinus.

Quelles sont les causes de la sinusite chronique ?

Certains facteurs sont propices à créer l’inflammation chronique :

  • Les allergies chroniques.
  • L’exposition à des irritants environnementaux : la pollution, la fumée de tabac.
  • Une prédisposition génétique semble aussi être un facteur causal.
  • Parfois, la sinusite chronique du sinus maxillaire s’installe à partir de l’abcès d’une dent de l’arcade supérieure qui se propage au sinus situé au-dessus.

Comment savoir si une sinusite se complique ?

Des signes cliniques faisant suspecter une sinusite compliquée : syndrome méningé, troubles de la mobilité oculaire, douleurs insomniantes …  Imposent l'hospitalisation, les prélèvements bactériologiques, le recours à l'imagerie, et l'antibiothérapie (traitements antibiotiques) en urgence.

Quels sont les facteurs de risques de sinusite ?

Les facteurs de risque fréquents de sinusite sont les facteurs qui bouchent le drainage sinusal normal :

  • Rhinite allergique.
  • Polypes nasaux (un polype nasal est une prolifération excessive de la muqueuse du nez qui recouvre la paroi des sinus).
  • Sondes nasogastriques.
  • Les immunodépressions : diabète, infection par le VIH...

Photo : polype au niveau de la narine droite

polype nasal
Photo : polype au niveau de la narine droite

Sinusite : dans quels cas consulter ?

Il faut consulter son médecin traitant dans les 2 jours dans les cas suivants si ces symptômes sont présents depuis maximum 48h :

  • Fièvre modérée, environ 38,5 °C.
  • Faibles douleurs sous les yeux au niveau des pommettes qui persistent.
  • Symptômes de rhinopharyngite : obstruction nasale, toux, éternuements... persistants pendant plus d'une semaine.
  • Douleurs aux sinus.

Il faut consulter son médecin traitant dans la journée si ces symptômes persistent 48 à 72h :

  • Douleur sinusale qui devient plus intense malgré un traitement symptomatique pris pendant 48 à 72 heures.
  • Douleur unilatérale au niveau d'un sinus qui irradie vers les arcades dentaires faisant suspecter une infection dentaire simultanée.
  • Écoulement nasal qui augmente, devient purulent et n'est présent qu'au niveau d’une seule narine.
  • Douleur de sinusite située d'un seul côté, pulsatile, qui augmente avec la tête penchée en avant, en fin de journée ou durant la nuit.

Il faut consulter en urgence pour une sinusite dans ces cas précis :

Dans un contexte de fièvre supérieure à 38,5 °C, il faut contacter sans tarder le service d’aide médicale d’urgence (15, 112 ou les urgences de l'hôpital le plus proche) :

  • Gonflement au niveau du visage et particulièrement d’un œil.
  • Douleurs au niveau d’un œil.
  • Vue qui se trouble ou si les yeux semblent différents.
  • Maux de tête intenses, inhabituels, nausées, gêne à la lumière.

À noter : une hospitalisation est parfois utile.

Quelles sont les complications d'une sinusite ?

Réponse du Docteur Nils Morel :

"L’inflammation persiste et les symptômes ne disparaissent pas. La complication principale de la sinusite est donc la propagation de l’infection bactérienne."

Dans les cas graves, en général pour les sinusites frontales, sphénoïdes ou ethmoïdes, l’infection des sinus peut s’étendre aux os qui contiennent les sinus, aux yeux, aux méninges (les enveloppes du cerveau), voire au cerveau lui-même ou à l’ensemble du corps. Les personnes souffrant de sinusite qui développent ces symptômes doivent être évaluées par un médecin aussi vite que possible.

Quels sont les examens et analyses en cas de sinusite aiguë ou chronique ?

  • L'imagerie n'est pas indiquée dans la sinusite aiguë. Le médecin évalue les symptômes typiques : maux de têtes, mouchages épais, obstruction nasale, fièvre.
  • Si les personnes présentent des symptômes de complications (yeux exorbités et rouges) ou quand les personnes ont une sinusite chronique :
    • une tomodensitométrie (TDM) peut déterminer l’étendue et la sévérité de la sinusite.

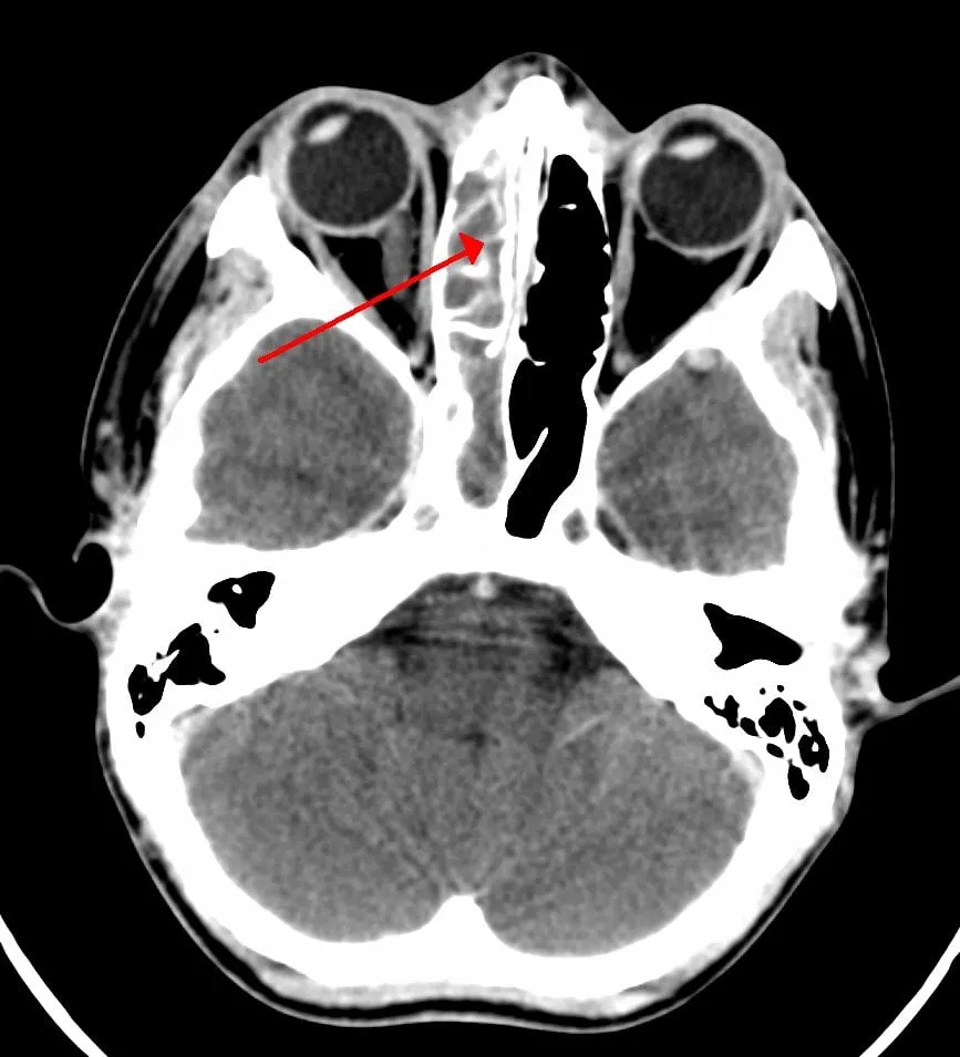
Photo : tomodensitométrie, CT-scan à double source

Photo : tomodensitométrie, CT-scan à double source
  • Si une personne présente une sinusite maxillaire : une radiographie des dents (panoramique dentaire) est préconisée pour vérifier la présence éventuelle d’un abcès dentaire.
  • Pour visualiser les orifices des sinus et effectuer un prélèvement des sécrétions par culture : le médecin peut demander le passage d’une fibre optique (endoscope) dans le nez. L'examen est réalisé au cabinet du médecin en ambulatoire et nécessite une anesthésie locale.

Comment soigner une sinusite aiguë ou chronique ?

Le but du traitement de la sinusite aiguë est d’améliorer la ventilation des sinus et d’éliminer l’infection. L’antibiothérapie n’est pas indiquée d’emblée.

Il existe différentes façons d’améliorer l’écoulement des sinus :

  • L’inhalation de vapeur.
  • L'usage de serviettes mouillées chaudes au-dessus des sinus affectés.
  • La prise de boissons chaudes peuvent aussi contribuer à soulager les membranes enflées et à promouvoir le drainage.
  • Enfin, irriguer le nez avec une solution saline (irrigation nasale) ou utiliser un pulvérisateur de solution saline peut-être préconisé.

En cas de diagnostic incertain et de persistance anormale ou d’aggravation des symptômes sous traitement symptomatique, la réévaluation est nécessaire. Une antibiothérapie doit être envisagée :

  • Lorsque le diagnostic de sinusite aiguë maxillaire purulente est établi (au moins 3 jours de symptômes, tels que fièvre à 39 ºC ou plus et douleur sévère) ou persistante (pendant au moins 10 jours).
  • En cas d’échec d’un traitement symptomatique initial ou en cas de complications.
  • En cas de sinusite maxillaire unilatérale associée à une infection dentaire, sans oublier de traiter la dent en cause.

L'antibiothérapie est indiquée sans réserve en cas de sinusite frontale, ethmoïdale ou sphénoïdale.

Pour atténuer la gêne et les douleurs au niveau des sinus

Pour atténuer la gêne et diminuer les douleurs, il est conseillé de suivre ces recommandations : 

  • Éviter la fumée de tabac qui favorise les infections respiratoires.
  • Arrêter de fumer.
  • Humidifier l'intérieur de son nez avec des produits adaptés (sérum physiologique, spray d'eau thermale ou de mer).
  • Dormir la tête surélevée pour améliorer le passage de l'air.
  • Éviter les climatiseurs qui assèchent l'air. La température idéale d'une pièce se situe autour de 18 °C à 20 °C.
  • Boire régulièrement de l’eau.
  • Ne pas trop se couvrir : la chaleur du corps doit s'évacuer.

Pour épargner vos proches et éviter de les contaminer :

  • Se laver les mains régulièrement.
  • Couvrir sa bouche avec un mouchoir en papier lorsqu'on tousse.
  • Se moucher aussi souvent que nécessaire avec des mouchoirs jetables puis les jeter dans une poubelle après utilisation et se laver les mains ensuite.
Google News Voir les commentaires