Radio : 9 objets insolites découverts par les médecins

Publié par La Rédaction Médisite
le 08/09/2014
Autre
L'être humain a vraiment de l'imagination. Trop parfois comme le démontrent ces clichés pris dans les services d'urgences médicales. Les objets, introduits par voie anale, peuvent pourtant causer de sérieux dégâts.

<div id="video-container" class="block-ad md:block!" style="font-size:0;position:relative;overflow:hidden;width:100%;padding-top:56.25%;"></div><p>full_html</p>

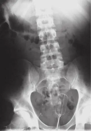
Une ampoule

1/9
Autre

Dans leur livre Stuck Up!: 100 Objects Inserted and Ingested in Places They Shouldn"t Be, trois médecins américains ont publié les photos d"objets incroyables retrouvés en examinant leur patient. Ici, une ampoule.

Une poupée

2/9
Autre

Là, c"est une poupée qui a été découverte par les médecins lors d"une radiographie. Elle est entrée par l"anus du patient, comme la plupart des objets insolites localisés à cet endroit.

Une cassette

3/9
Autre

Incroyable mais vrai : ce patient avait une cassette audio dans le rectum. Les médecins insistent sur la dangerosité d"insérer de tels objets dans des endroits où ils n"ont rien à faire.

Un fouet

4/9
Autre

Oui, oui, vous n"hallucinez pas ! C"est bien l"embout d"un batteur électrique qui a été retrouvé lors du cliché radiographique d"un patient venu consulter aux urgences.

Une prise électrique

5/9
Autre

Une prise électrique a été retrouvée ici dans le rectum d"un patient. Pour rappel, si les adultes sont plus ou moins conscients des risques pris lors de tels essais, les enfants n"en ont aucune idée. Il faut donc toujours être vigilant pour éviter le moindre accident.

Une lime à ongles

6/9
Autre

On a du mal à y croire mais c"est une lime à ongles qui a été retrouvée chez ce patient. La lame pointue est pourtant extrêmement dangereuse pour les organes environnants.

Un téléphone

7/9
Autre

Certains patients - un peu honteux très certainement - n"hésitent pas à expliquer aux médecins que l"objet insolite s"est retrouvé là... en s"asseyant dessus par mégarde.

Google News
Voir la suite du Diaporama