Le symptôme le plus courant de la rupture d'anévrisme

Publié par La Rédaction Médisite
le 20/07/2017
Maj
le 20/03/2018
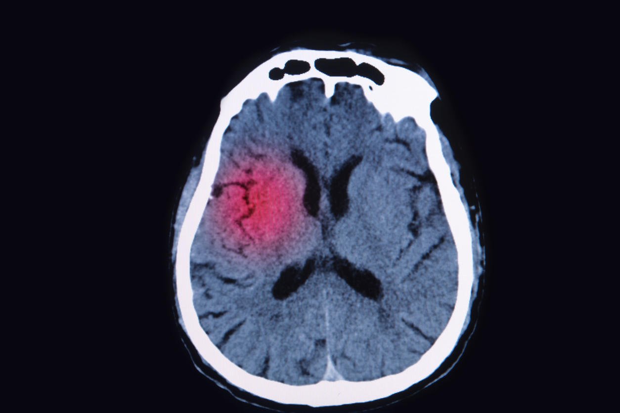
image par résonance magnétique (irm) du cerveau montrent une lésion cérébrale
Istock
Si les symptômes de l’anévrisme en lui-même sont assez rares, ceux de la rupture d’anévrisme se manifestent en revanche de manière très claire, et ce, qu’il s’agisse d’une rupture d’anévrisme cérébral, thoracique ou abdominal…

Le principal symptôme de la rupture d’anévrisme

L’anévrisme est une partie gonflée d’une artère : à terme, il peut se rompre et provoquer une hémorragie. Le principal symptôme de la rupture d’anévrisme est une douleur soudaine et d’une très grande intensité. Une rupture d’anévrisme cérébral se traduit ainsi par un violent mal de tête tandis que la rupture d’anévrisme thoracique entraîne une vive douleur dans le haut du thorax, pouvant se propager au dos. La rupture d’anévrisme abdominal provoque quant à elle d’intenses douleurs d’estomac et/ou lombalgies… Face à ces douleurs, appelez les urgences, à plus forte raison si d’autres symptômes de rupture d’anévrisme sont présents : perte de conscience, paupière tombante, vomissements, nausées, vision dédoublée, confusion mentale…

Rupture d’anévrisme : les signes avant-coureurs les plus courants

Les signes avant-coureurs de la rupture d’anévrisme sont rares mais, parfois, un gros anévrisme entraîne des symptômes quand il fait pression sur un nerf ou un organe adjacent. Parmi les symptômes d’anévrisme cérébral figurent notamment des maux de tête intenses, des douleurs faciales, un strabisme, une vision double et des tremblements d’une paupière. Les symptômes d’anévrisme abdominal comprennent une sensation de pulsation dans l’abdomen et des douleurs abdominales. Quant à l’anévrisme thoracique, il entraîne parfois une toux avec crachats sanglants, une respiration sifflante, des douleurs thoraciques, des troubles de la déglutition et une voix enrouée.

Google News Voir les commentaires