Images : Les 8 pires objets coincés dans le rectum des patients

Publié par Bénédicte Demmer
le 06/02/2015
Autre
©Radiopaedia CC
Pour prouver les difficultés du métier de radiologue aux étudiants, un centre de recherche a publié les clichés des cas les plus compliqués et insolites d'objets coincés dans le rectum de patients. Des images qui resteront dans les annales ! 

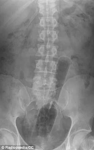
Un patient qui a "glissé" sur un pilon

1/8
Autre
©Radiopaedia CC

Comment ce pilon est-il arrivé là ? Selon le centre de recherche en radiothérapie Radiopaedia, il aurait pénétré dans le rectum d"un patient de 40 ans "tombé par terre en cuisinant".

Une bouteille avec des aiguilles dedans

2/8
Autre
©Radiopaedia CC

Le patient aurait avoué s"être lui-même inséré cette petite bouteille contenant du café d"une marque très connue, dans le rectum. Comment les aiguilles se sont retrouvées plantées à l"intérieur ? C"est encore un mystère.

Un sextoy fait maison avec un tube de vitamines

3/8
Autre
©Radiopaedia CC

N"ayant pas de jouet coquin sous la main, le patient aurait décidé d"en faire un lui-même en vissant un tube de vitamines sur une bombe de déodorant. Le problème c"est que sa petite fabrication maison est restée coincée à l"intérieur de son rectum.

Une bouteille de soda

4/8
Autre
©Radiopaedia CC

 

Pas facile de garder son sérieux pour le médecin qui a découvert la silhouette d"une bouteille d"un soda très connu en visionnant la radio du rectum de son patient.

Un vibromasseur coincé dans l"anus

5/8
Autre
©Radiopaedia CC

"Il devrait y avoir une petite corde qu"il faut attacher à sa cheville pour ne pas perdre ces objets coquins", a plaisanté le médecin qui a retrouvé un petit vibromasseur coincé dans l"anus de son patient.

Une aubergine aspirée par son anus

6/8
Autre
©Radiopaedia CC

Selon le centre de recherches en radiothérapie Radiopaedia, cette image montre une aubergine coincée dans le rectum d"un patient qui l"aurait lui-même insérée. "Il aurait dû savoir que tout ce qui traverse l"anus est automatiquement aspiré à l"intérieur" ont rappelé les médecins.

Une orange

7/8
Autre
©Radiopaedia CC

Parmi les clichés radiologiques inoubliables, celui d"un patient qui avait inséré volontairement une orange à l"intérieur de son rectum.

Voir la suite du Diaporama
Google News Voir les commentaires