Photo : son foie était rempli de vers après avoir mangé du poisson cru

Publié par Sophie Raffin
le 23/07/2020
Adobe Stock
Un Chinois de 55 ans a dû se faire retirer la moitié de son foie. L’organe était rempli de vers à cause de son amour pour le poisson cru.

Tartare et carpaccio… que cela soit de viande ou de poisson, nous sommes nombreux à aimer ces plats, surtout en été. Pourtant, ils ne sont pas sans danger comme le montre la mésaventure de ce Chinois de 55 ans, nommé Xie. Son foie a été entièrement été parasité par des vers après avoir mangé du poisson cru. 

Vers dans le foie : un abcès géant impressionnant...

Son histoire a été relatée par l’hôpital Hangzhou First People. Dans son communiqué, l’établissement asiatique indique que le cinquantenaire a commencé à ressentir des douleurs abdominales et des diarrhées après avoir rendu visite à sa famille en février dernier. Dans un premier temps, l'homme souffrant pensait que ses symptômes étaient causés par la dépression

Le malade s’est finalement décidé à consulter un médecin 4 mois plus tard quand il a eu une forte fièvre pendant 3 jours. Après l'avoir examiné, les médecins ont découvert un abcès géant dans le lobe gauche de son foie. Les mesures étaient en effet impressionnantes : 19 centimètres de long, 18 cm de large et 12 centimètres de profondeur !

“L’examen par échographie a montré que le foie gauche de monsieur Xie avait été “vidé” et transformé en une grosse boule de pus”, précise l’hôpital. Des images, présentées dans notre diaporama, ont aussi été dévoilées. 

… rempli de parasites !

Dans un premier temps, l’équipe médicale a tenté de réduire l’abcès en le drainant mais ils ont rapidement renoncé car l’infection était trop sévère. Il a alors été décidé d’opérer le patient. Lors de l’intervention qui les a conduit à lui retiré la moitié du foie, ils ont découvert un nombre “innombrable d’œufs”, "en forme de bulbe, à coquille épaisse" au sein de l’organe.

Des recherches supplémentaires ont permis de déterminer qu’ils avaient été pondus par un clonorchis sinensis, appelé communément douve de Chine. On trouve ce parasite est un ver plat dans les fruits de mer et les poissons d’eau douce. Le patient aurait été contaminé lors de son séjour en province dans sa famille où il a mangé de nombreux plats à base de poissons crus. 

La distomatose hépatique d’Extrême-orient : une maladie parasitaire fréquente

La douve du Chine et ses œufs provoquent chez l’être humain une infection, appelée clonorchiase ou distomatose hépatique d’Extrême-orient. En 2004, on comptait environ 15 millions de personnes infectées par ce parasite dont 85% vivaient au sein de l'empire du Milieu. Mais ce type d'infection est devenu plus rare ces dernières années, selon l’hôpital de Hangzhou, car la population applique plus souvent les règles d’hygiène alimentaire.

La pathologie peut prendre trois formes : 

  • Frustre : le patient a peu ou pas de symptômes (fatigue, perte d’appétit, diarrhée).
  • Moyenne : quelques centaines de parasites sont installées dans l’organisme. Ils causent des œdèmes, des diarrhées puis une augmentation douloureuse de la taille du foie.
  • Grave : des milliers de vers sont présents dans l’organisme. Ils peuvent être responsables d’une anémie, cirrhose et d’une infection de la vésicule biliaire.

La douve de Chine peut pondre jusqu'à 2000 œufs, ce qui peut infecter les organes d'un humain pendant 20 à 30 ans. Après sa mésaventure, Xie qui ne faisait pas cuire son poisson afin de "préserver la saveur de la chair", a assuré qu’il ne le ferait plus.

Afficher les sources de cet article

Communiqué de presse du 20 juillet 2020 de l’hôpital Hangzhou First People

Man’s liver becomes worm-filled pus ball after he ate undercooked fish, The New York Post, 22 juillet 2020

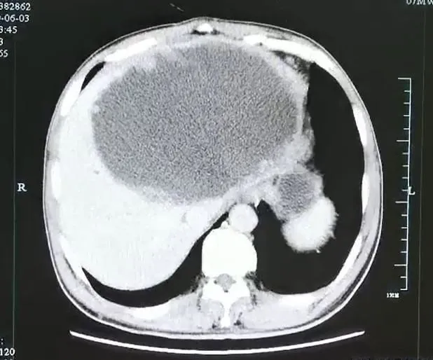
Le foie avant le drainage

1/4
Service de presse

L'énorme abcès du foie avant drainage. L'hôpital précise que plusieurs des structures visibles ressemblaient à des tumeurs.

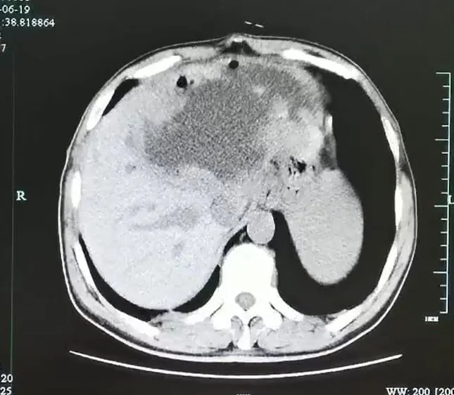
L'abcès après le drainage

2/4
Service de presse

Après drainage, la cavité de l'abcès a rétréci. Toutefois la paroi reste épaisse. Finalement, il a été nécessaire de retirer une partie de l'organe du patient.

La douve de Chine

3/4
Creative Commons
wikipedia licence creative common 2.5

Voici une photo au microscope d'une douve de Chine ou Clonorchis sinensis. Ce ver plat parasite mesure 10 à 20 mm de long sur 3 mm de large. Ses œufs font entre 26 à 32 μm de long.

Le cycle de développement de la douve de Chine

4/4
Creative Commons
Image placée dans le domaine public

Voici comment la douve de Chine parvient à parasiter le foie des Hommes.

Google News Voir les commentaires